Pokličite nas na:
+386 41 440 905
O nas
Zobozdravstvo
Zobozdravnik blog
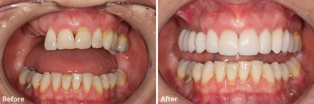
mostiček na implantatih
Home
/
Zobozdravnik blog
/
Zobni implantat ali vsadek je trajna rešitev ob izgubi zob
/
mostiček na implantatih
15. maja, 2019
Aleksandra Selčan
Leave a comment  
Add a Comment
Za preklic odgovora kliknite tukaj.
Name
*
Email
*
Website
Your Comments
Search
© 2018 Spletna klinika