Izkušnje pacientov

Mateja je izbrala snemljiv zobni aparat Invisalign

Maja B. 36 let: Že od srednje šole dalje sem si želela da bi moji zobje bili poravnani. Ker opravljam delo pri katerem imam opravka z ljudmi, klasični zobni aparat z žabicami ni prišel v poštev. Zato sem se odločila za Invisalign terapijo in ni mi žal. Nihče ni opazil, da imam zobni aparat in da sem v ortodontski terapiji, med jedjo sem ga lahko snela, čiščenje je enostavno sama uporaba aparata pa je preprosta. Še enkrat bi se odločila za Invisalign.

Hanina preobrazba nasmeha z zobnim aparatom Damon

Tv voditeljica, model novinarka Hana H. je še pred letom in pol imela težave z nepravilno pozicijo zob in nepravilnim ugrizom. Po kliničnem pregledu smo ugotovili, da ger za izjemno težko anomalijo zato smo se odločili za ortdontsko terapijo z Damon zobnim aparatom. Damon sistem omogoča hitrejše zdravljenje, manj obiskov pri ortodontu, večje udobje in konsistenten kakovostne rezultate.

Slika pred terapijo in po terapijo z Damon sistemom pove vse o uspešnosti ortodontske terapije.

Hana H. Popoln nasmeh je bila pri meni nuja, zaradi narave dela, saj sem izpostavljena kameram in fotoaparatom. Dolgo časa sem iskala primerno in hitro rešitev za moje zobe in po priporočilu prijateljice končno obiskala Center odličnosti za ortdoncijo v Zagrebu. Ko so mi povedali, da bo terapija trajala eno leto in pol sem se najprej malo ustrašila, vendar je bila odločitev nujna. Sedaj se po zaslugi odlične ekipe ortodonotov, se lahko na široko smejim pred kamerami in fotografi ker sem ponosna na svoj nasmeh. V kliniki so bili vsi zelo prijazni, na voljo v vsakem trenutku in sem res vesela, da sem se odločila za ta korak. Hvala vsem iz srca 🙂

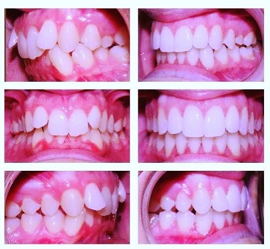
Andrejina preobrazba nasmeha z zobnim aparatom Damon

Andreja (33 let) je prišla k nam z željo po popolnem nasmehu. Po pregledu je bilo ugotovljeno, da so njeni zobje zdravi in močni, pozicija zob in ugriz pa sta napačna. Ker je Mateja želela hitro terapijo z čim manj obiski smo ji predlagali Damon sistem samozaklepno tehniko zobnega aparata. Mateja je izbrala estetski zobni aparat z belimi žičkami in prozornimi nosilci. Po enem letu je bila terapija uspešno zaključeno.

Andreja K. Nisem mogla verjeti kako hitro je šlo vse. Prišla sem na informativni pregled in že naslednji teden sem dobila aparat. Eno leto je minilo v hipu. Terapija je bila brez bolečen in zobni aparat se skoraj ni videl. Ko sem dala aparat dol me je skoraj kap ko sem videla kako lepe zobe imam. Sploh ko sem primerjala sliko zob pred terapijo. Zahvaljujem se celotni ekipi sestram za prijaznost in ortodontinji za profesionalnost.

Slike pacientov ko gre zobni aparat stran

Privoščite tudi sebi popoln nasmeh. Rezervirajte si termin za brezplačni pregled in posvet s klikom na povezavo: Želim termin za prvi brezplačni pregled in posvet

V letu 2021 smo namestili več kot 1000 zobnih aparatov in uspešno zaključili več kot 700 ortodontskih terapij.